全瓷冠
 

大家來猜猜看哪一個植牙、假牙、真牙?

 
您的笑容,我們專業守護!顯微精準治療與全瓷美學重建案例分享

這位患者的治療挑戰涵蓋了缺牙、受損牙齒的修復,以及對最終美觀的極高要求。我們透過一系列數位化、微創化的治療流程,成功重建了患者的口腔健康與自信笑容。

 

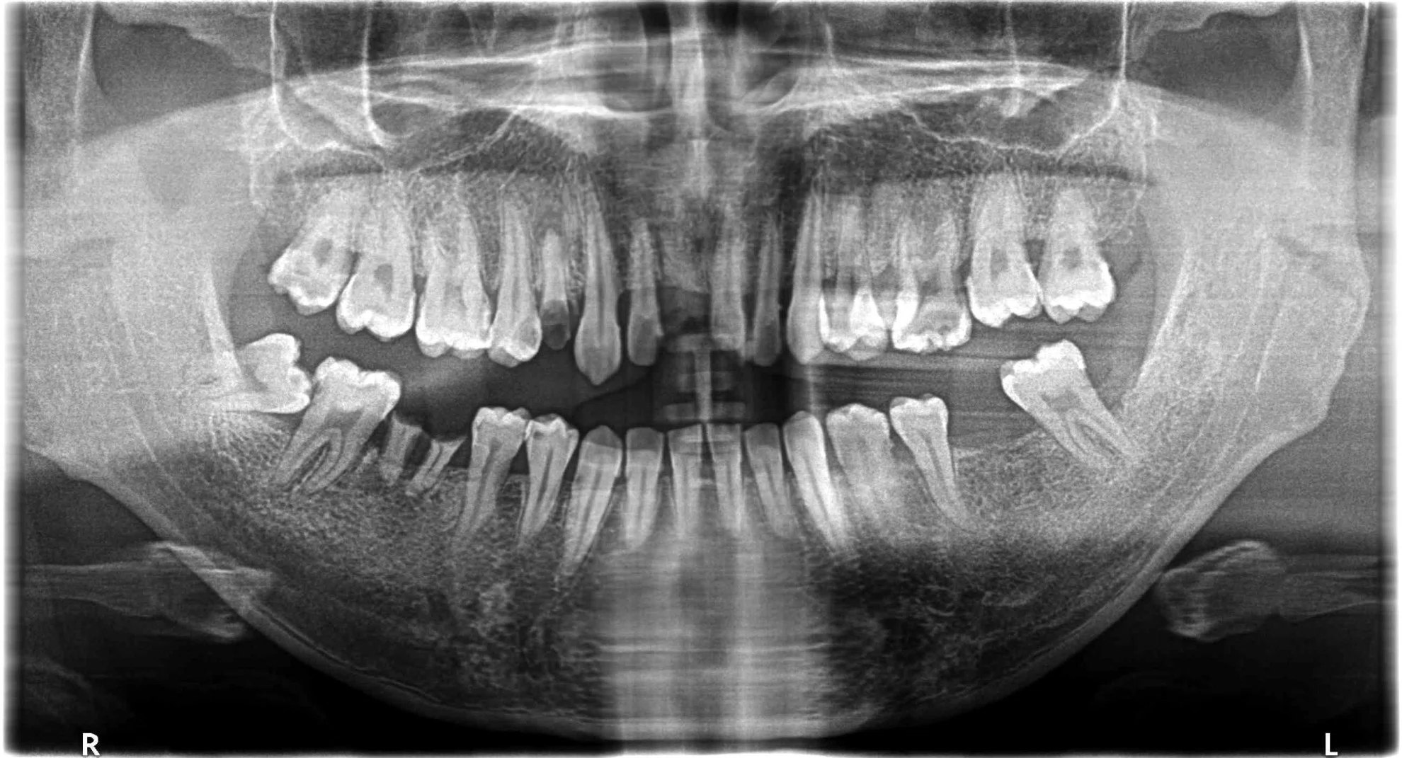
治療前後對比

 全瓷冠全瓷冠
後牙區觀察到多處缺牙,可能伴隨齒槽骨條件的考量。成功植入多顆人工牙根 (植牙),X光片顯示植體位置精準,骨整合情況良好,為恢復咀嚼功能奠定堅實基礎。
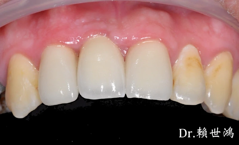
前牙區可見多顆牙齒的齒質狀況與根尖健康需要處理。根管治療成功完成,並搭配全瓷冠進行修復,重建了牙齒的形態與強度。

精準治療項目與亮點

1. 顯微根管治療

優勢

採用牙科手術顯微鏡,提供數十倍的放大視野和充足照明。

特色

確保根管系統的清理徹底、封填緊密。這對於保留自然牙、避免未來感染至關重要,為上方的全瓷冠修復創造一個穩固、健康的基礎。

 

2. 數位化顯微植牙

優勢

結合術前 CBCT 3D 掃描與手術導板,實現「導引式植牙」。

特色

將植牙手術的微創性、精準性提升到極致,準確避開重要神經與血管,保護周圍骨組織。從 X 光片可見,人工牙根植入位置理想,能最大化後續假牙的受力穩定性,快速恢復患者的咀嚼功能

3. 全瓷冠美學重建

優勢

採用高強度、高透光性的全瓷材料

特色
  • 極致美觀
    前牙區修復後的全瓷冠,無論在顏色、透光度還是形態設計上,均與自然牙完美融合,邊緣密合度高,牙齦健康。
  • 生物相容性
    全瓷材料無金屬,不刺激牙齦,長期穩定性高,真正實現健康與美學兼備
揭曉答案!
 
全瓷冠
 
 
全瓷冠

賴世鴻 醫師

醫師資歷
  • IDEOSS人工植牙認證專科醫師
  • 中國醫藥大學牙醫學士
  • 前中國醫藥大學附設醫院牙科部醫師
  • 台灣牙醫顯微美學治療學會會員
專長治療項目
  • 美白貼片
  • 人工植牙
  • 全口重建
  • 顯微治療

醫師總結

此案例充分展現了現代牙醫學在功能重建美學修復上的卓越能力。透過精確的診斷、顯微鏡下的細膩操作,以及高品質的全瓷修復體,我們不僅讓患者恢復了健康的咬合力,更賦予了他們一個自然、自信、持久的完美笑容。