告別暗沉與不完美!
美白貼片+全瓷冠,打造鑽石級笑容!
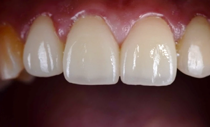
您的笑容是我們最珍視的藝術品!此案例患者因前牙美觀困擾而求診,希望能改善牙齒顏色、形狀與整體協調性。我們透過精密的診斷與客製化的設計,運用美白陶瓷貼片與全瓷冠的完美結合,成功為患者重塑了耀眼自信的笑容!
術前 / 術後對比


微笑重建的黃金組合:美白貼片與全瓷冠
1. 美白陶瓷貼片
針對問題
牙齒輕微變色、形態不佳、表面磨損、牙縫或輕微排列不齊。
技術優勢
微創修磨
僅需修磨極少量牙齒表面,甚至可做到免磨牙貼片,最大限度保留健康齒質。極致美觀
陶瓷材質與天然牙相似,具有高透光性與真實感,顏色可客製化選擇,持久亮白不染色。效率美學
短時間內就能徹底改變牙齒外觀,達到令人驚豔的「微笑升級」效果!
2. 全瓷冠
針對問題
牙齒有較大面積缺損、變色嚴重、根管治療後需要保護、或需要更強固的重建。
技術優勢
全方位保護
提供牙齒完整包覆,恢復其強度與功能,尤其適合保護脆弱的根管治療後牙齒。自然通透
無金屬內冠,避免牙齦邊緣變黑的問題,透光度與自然牙無異,確保笑容的自然與美麗。生物相容性
材料穩定,不刺激牙齦組織,提供長期的口腔健康。

賴世鴻 醫師
醫師資歷
- IDEOSS人工植牙認證專科醫師
- 隱適美認證醫師
- 中國醫藥大學牙醫學士
- 前中國醫藥大學附設醫院牙科部醫師
- 台灣牙醫顯微美學治療學會會員
專長治療項目
- 美白貼片
- 人工植牙
- 全口重建
- 顯微治療
- 戴蒙矯正
- 隱適美矯正
醫師總結
此案例透過專業評估與精緻工藝,巧妙結合了美白貼片與全瓷冠的優勢,針對每顆牙齒的狀況給予最適合的修復方式。最終不僅達到了令人滿意的美白效果,更在形狀、排列和整體協調性上實現了完美蛻變,讓患者重拾了燦爛耀眼、無與倫比的自信笑容!



