傳統填補的「惡性循環」與風險
當蛀牙範圍過大時,若仍選擇使用健保給付的樹脂進行填補,常會面臨以下問題:
- 強度不足,容易崩落: 樹脂材質的強度與耐磨性遠不如牙齒琺瑯質,在正常的咀嚼力量下,填補物邊緣容易出現崩裂或磨耗。
- 密合度差,二次蛀牙高: 填補物與牙齒邊緣一旦產生肉眼難見的間隙,便會成為細菌藏匿的溫床,導致材料滲漏、藏污納垢,進而引發二次蛀牙。
- 最終走向根管治療: 這種「崩落、重填、再蛀」的惡性循環,最終會使蛀牙範圍不斷擴大,深及牙髓神經,導致必須進行根管治療(俗稱抽神經)。
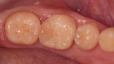
治療前 / 治療後對比


💎 理想修復方案:高強度陶瓷嵌體
對於大範圍的後牙蛀牙,最理想且長久的修復方式是採用陶瓷嵌體(俗稱 3D齒雕或人工琺瑯質)。這是一種介於傳統填補和全罩式牙冠之間的微創修復方式。
陶瓷嵌體的四大核心優勢
- 極致密合度: 透過數位印模或高精度取模,在實驗室精製而成。與傳統口內直接填補樹脂相比,陶瓷嵌體能達到邊緣極高的密合度(如圖),從根本上杜絕微滲漏和二次蛀牙的風險。
- 恢復天然強度: 採用高強度陶瓷材質,其硬度與耐磨性接近天然琺瑯質。它能有效恢復患齒因蛀牙而缺失的結構強度,避免牙齒在咀嚼時斷裂。
- 高度生物相容性: 陶瓷材料穩定,不刺激牙齦,且具有自然的透光度與顏色,修復後與鄰牙融合度高,達到美觀與功能的統一。
- 微創保留齒質: 僅需移除受損部分,最大程度保留健康的齒質。與需將牙齒磨小一圈套起來保護的的全瓷冠相比,陶瓷嵌體是一種更符合現代牙醫學「微創」理念的選擇。

程向正 醫師
醫師資歷
- 臺北醫學大學牙醫學系
- 萬芳醫學中心住院醫師
專長治療項目
- 全瓷美學重建
- 人工植牙重建
- 前牙仿生美學貼片
- 顯微根管治療
- 智齒拔除
醫師總結:長久效益優於短期方便
選擇陶瓷嵌體,是為了避免常跑診所、反覆填補的困擾,更是為了降低蛀到神經、需要根管治療的風險。透過一次高精度的修復,為您的後牙帶來長久穩定的保護。



