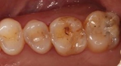
🔎 案例背景:患者因左上後牙區出現劇烈疼痛而就診。經專業檢查,確認有兩顆大臼齒面臨嚴重問題:
患者因劇烈牙痛就診。經檢查,確認為嚴重蛀牙已經穿透牙釉質與牙本質,感染深達牙髓腔神經,引發不可逆恢復的牙髓炎。
- 第一顆大臼齒: 由於咬到硬物,導致難以診斷的「裂齒症」,造成牙髓(神經)發生不可逆修復的發炎反應。裂齒症若裂痕延伸至牙根深處,往往需拔除,對牙齒的存留構成極大威脅。
- 第二顆大臼齒: 則因深度蛀牙侵犯至牙髓腔神經,引發牙髓壞死。
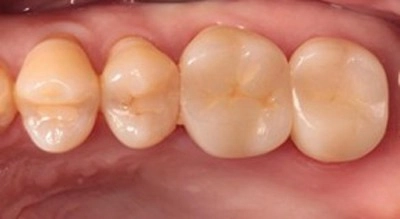
治療前 / 治療後對比


🚨 精準治療與保留關鍵
面對複雜的裂齒與感染問題,我們選擇了最能保留真牙、提升預後的顯微根管治療。
1. 🔍 高倍率下的裂痕判定
- 關鍵步驟: 在牙科手術顯微鏡下進行高倍率探查。
- 成果: 經詳細檢查與追蹤,確認第一顆大臼齒的裂痕尚未延伸至牙根深處,屬於可治療保留的範圍!
- 效益: 顯微鏡提供了傳統肉眼無法比擬的清晰視野,確保了診斷的精準性,避免了不必要的拔牙風險。
2. 🎯 顯微根管治療
- 雙重治療: 兩顆患齒皆實施顯微根管治療。
- 優勢: 針對裂齒牙,顯微鏡能更精確地處理根管內部,減少對牙齒結構的破壞。針對感染牙,則能確保感染源的徹底清創與緊密封填。
👑 最終重建與長期保護
完成顯微根管治療後,牙齒失去了血液供應會變得脆弱,必須進行完整的保護與修復。
- 選擇全鋯冠: 我們為兩顆牙齒製作了全鋯冠。
- 強韌特性: 全鋯冠是目前牙科材料中強度最高的選擇之一,能提供最大程度的保護,抵抗強大的咬合力。
- 保護裂齒: 尤其針對裂齒牙,全鋯冠的完整包覆能箍住牙齒結構,防止裂痕在咀嚼時進一步擴大或延伸,是保留裂齒的黃金標準。
- 術後成果: 全鋯冠形態自然,與鄰牙和諧,咬合面細節處理到位,恢復了穩固且強韌的咀嚼功能。

程向正 醫師
醫師資歷
- 臺北醫學大學牙醫學系
- 萬芳醫學中心住院醫師
專長治療項目
- 全瓷美學重建
- 人工植牙重建
- 前牙仿生美學貼片
- 顯微根管治療
- 智齒拔除
💖醫師總結:
本案例展示了「精準診斷 + 專業技術」是成功保留危險牙齒的關鍵。透過顯微鏡的輔助,我們成功判斷並保留了患有裂齒症的第一顆大臼齒,結合高強度全鋯冠的保護,讓患者能繼續安心使用自己的自然牙。



