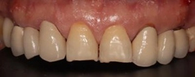
案例挑戰與美學需求
患者求診時面臨兩大問題:
- 門牙切端磨損: 上顎前牙的切緣(咬合邊緣)有明顯磨損,導致說話或微笑時牙齒露出不足(即笑容線條不佳),影響了整體視覺年齡。
- 舊有修復體不密合: 多年前製作的側門牙至小臼齒區域的牙橋,邊緣出現不密合的狀況,這不僅影響美觀,更可能導致食物殘留、細菌滲入,引發二次蛀牙或牙齦發炎的風險。
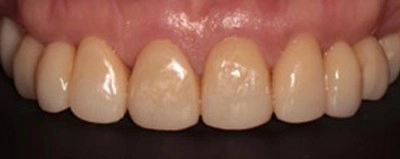
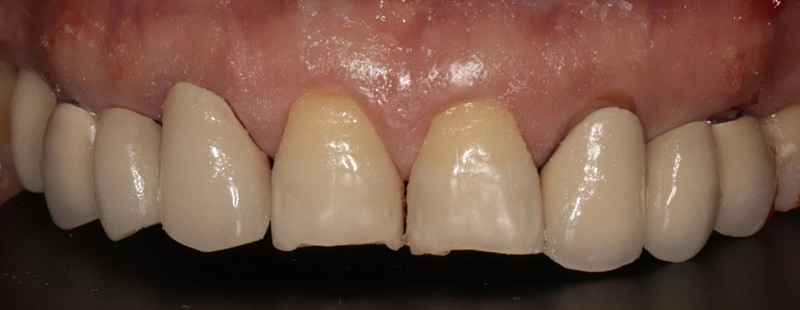
術前 / 術後對比


💎 治療方案:客製化美學修復
為了徹底解決功能與美觀問題,我們採取了複合式治療策略:
1. 前牙區:仿生陶瓷貼片
- 針對門牙:選擇高透光的陶瓷貼片。
- 美學設計:貼片不僅完美修復了門牙的切端磨損,更透過精細的長度和形態設計,重新建立了年輕化、和諧的微笑曲線,確保微笑時牙齒露出量達到理想比例。
- 仿生自然:陶瓷材質不僅能做出透白亮眼的亮白牙齒,對於想要呈現仿生自然的病人,也能模仿自然牙的顏色層次與透光感,讓修復後的門牙呈現晶瑩剔透、栩栩如生的效果。
2. 側後牙區:高強度全鋯冠牙橋
- 針對舊牙橋: 拆除舊有不密合的牙橋。
- 功能與美觀統一: 製作高強度全鋯冠牙橋。全鋯材質提供卓越的強度與耐用性,同時確保色澤與前牙貼片的美學標準保持一致,徹底解決了邊緣不密合的問題。

程向正 醫師
醫師資歷
- 臺北醫學大學牙醫學系
- 萬芳醫學中心住院醫師
專長治療項目
- 全瓷美學重建
- 人工植牙重建
- 前牙仿生美學貼片
- 顯微根管治療
- 智齒拔除
術後成果與醫師總結
- 整體蛻變: 治療完成後,患者的笑容線條變得流暢且飽滿,牙齒顏色均勻自然,成功恢復了年輕時的自信笑容。
- 長期保障: 我們特別強調定期回診追蹤與調整的重要性,確保陶瓷貼片與全鋯冠牙橋的長期穩定性和牙齦健康。



